mrgerardirvin el 01/02/2021 m mrgerardirvin
ODONTOLOGÍA ESTÉTICA:
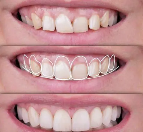
Abarca todo aquello que tenga que ver con la el embellecimiento de los dientes.Mediante tratamientos como el blanqueamiento dental, la reconstrucción o la ortodoncia invisible verá mejorada su sonrisa y por supuesto su calidad de vida.

